こんにちは。
高松でインプラント治療を行っている高松イイハ歯科です。
当院は高松市伏石町にある歯科医院で、インプラント治療にも力を入れています。
今回は、
奥歯のインプラント治療によって しっかり噛めるようになり、食事の楽しさを取り戻された患者様のインプラント症例
をご紹介します。
高松でインプラントをご検討の方の参考になれば幸いです。
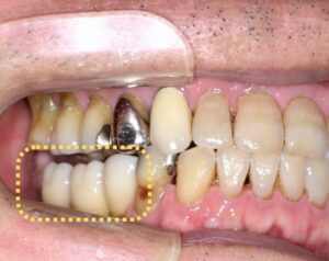
ご来院時の状態
60代男性の患者様です。
左右の下の奥歯、前から5番目から7番目の歯を失っている状態でした。

奥歯が無い状態が続くと
・食べ物が噛みにくい
・片側ばかりで噛んでしまう
・食事の満足感が下がる
・奥歯で噛めないため、前歯に噛む力が集中する
といった問題が起こります。
患者様も
「奥歯でしっかり噛めないので食事が楽しめない・・」
と悩んでおられました。
CT撮影による検査の結果、顎の骨量が十分あったため、骨を足す処置は無しで、すぐにインプラント埋入オペが可能と診断しました。
治療方法(インプラント+ブリッジ)
今回の症例では、5番と7番の位置にインプラントを埋入し、その上にブリッジを装着する治療を行いました。

インプラント(5番)
+ダミー歯(6番)
+インプラント(7番)
という形で、3本分の奥歯を回復しています。

この方法は
・インプラントの本数を抑えられる
・奥歯の噛む力を回復できる
というメリットがあります。
インプラントが骨とくっ付くオッセオインテグレーションが起こる間もしっかりと歯周治療を継続し、インプラント治療後の予後が安定するように処置を行いました。
治療後の変化
奥歯が入ったことで患者様は「食事の味が変わった!」ととても喜んでいらっしゃいました。
奥歯は食べ物をすりつぶすための重要な歯です。
奥歯がないと噛む力は大きく低下し、奥歯が1本なくなると噛む力は半分ほどに低下すると言われています。
しっかり噛めないと食べ物が細かくならず、舌の上に広がりません。
奥歯で噛めるようになると食べ物が舌全体に広がるため味をよりしっかり感じられるようになります。
毎日を彩るお食事がより楽しくなるお手伝いができたことを、大変嬉しく思います。
高松でインプラントをご検討の方へ
奥歯がない状態を放置すると、奥歯での咬み合わせが少ないために前歯に咬む力が集中してしまいます。
その結果、
・噛む力の低下
⇒栄養状態や脳の機能の低下など全身状態への悪影響
・残っている歯への負担
・噛み合わせの変化
・前歯の開き
につながることがあります。
義歯やブリッジなどで対応する場合は、残っている歯への負担や健康な歯を削る等デメリットもたくさんあります。
当院ではインプラント治療によって、残っている大切な歯に負担をかけることなく
しっかり噛める奥歯を取り戻すことをおすすめしています。
高松でインプラント治療をご検討の方は
お気軽にご相談ください。
**高松イイハ歯科**
電話 087-865-1180
web予約は こちら
