こんにちは。
高松でインビザライン・小児矯正を行っている高松イイハ歯科です。
今回は、9歳のお子さまのインビザライン(小児矯正)の症例をご紹介します。
高松で小児矯正やインビザラインをご検討の方の参考になれば幸いです。
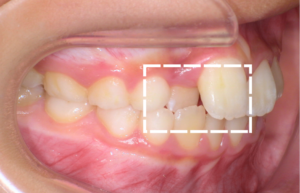
ご来院時の状態
学校の歯科健診で歯並びを指摘され、歯みがきの際には歯ぐきからの出血も見られていた9歳の男の子です。
・前歯のデコボコ
・上の前歯の2番目の歯が引っ込み、下の歯が前に出ている噛み合わせ
といった状態でした。

治療方法(インビザラインファースト)
9月からインビザラインファースト(小児用マウスピース矯正)を開始しました。
お子さまの成長期は、歯を動かすだけでなく
あごの成長を活かして歯並びを整えられる大切な時期です。
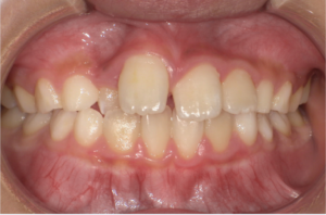
治療経過(約6ヵ月)
9月から3月中旬までの約6ヵ月で、
・前歯のデコボコの改善
・引っ込んでいた歯の改善
・噛み合わせの改善
と、大きな変化が見られました。

短期間でもここまで変化が出るのは、成長期ならではのメリットです。
将来を見据えたスペースコントロール
今回の症例では、
・上の6歳臼歯と乳歯の間
・下の歯の生え変わり部分
に、あえてスペースを確保しています。
これは永久歯がきれいに並ぶための準備です。
当院では見た目だけでなく、将来の歯並びまで考えた治療を行っています。
小児矯正は早めの相談が大切
お子さまの歯並びは、
・成長を利用できる
・抜歯を避けられる可能性がある
・短期間で大きく改善できる
といったメリットがあります。
気になるタイミングでご相談いただくことが、とても大切です。
高松でインビザライン・小児矯正をご検討の方へ
・歯並びが気になる
・学校健診で指摘された
・将来が心配・・
といった方は、ぜひ一度高松イイハ歯科までお気軽にご相談ください。
当院のインビザラインについてはこちらのページもご覧ください。
**高松イイハ歯科**
電話 087-865-1180
web予約は こちら
